案例分享:青少年脊柱侧弯矫正——非手术矫正,重获挺拔与自信

不只是“站直一点”那么简单
许多家长都会注意到孩子有弯腰驼背的现象,但往往难以判断这究竟是成长过程中的暂时姿态问题,还是存在更严重的脊柱异常。
对于17岁的玲(化名)来说,家人长期担忧她的体态问题。经过专业检查,她被确诊为脊柱侧弯(即脊柱向侧方弯曲)合并脊柱后凸(背部过度前凸)。这两种情况不仅影响外观,也可能对身体功能造成长期影响。

治疗前后对比
今天,我们分享她的康复历程,展现非手术干预如何带来显著的结构与功能改善——不仅重塑了她的体态,更重燃了她对生活的自信。



治疗师 / Amari

面对挑战:初诊时的脊柱状况
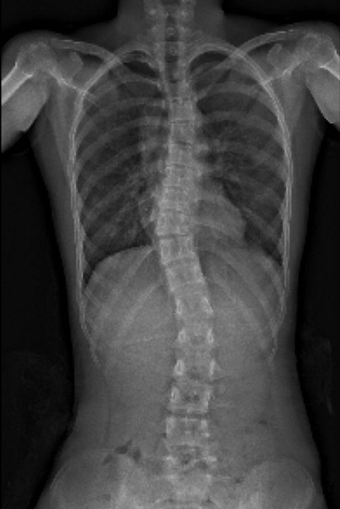
当玲第一次来到优复新天地国际医疗中心时,她和家人满怀焦虑与担忧。初次拍摄的X光片清晰揭示了她所面临的脊柱问题,为后续治疗提供了明确的方向。

初始X光片
这远不止是外观上的困扰。脊柱的异常弯曲可能带来慢性疼痛、限制肺部功能,并对长期健康与生活质量产生深远影响。我们的首要目标是为玲量身定制个性化的康复方案,遏制病情进展,同时最大程度地改善脊柱的力学排列。
物理治疗师Amari在评估后给予了她坚定而温暖的鼓励:“我们会用安全、循序渐进的方式一起努力,你一定能亲眼见证改变的发生。”
多维度矫正策略:没有“神奇药方”,只有系统方案
脊柱矫正没有捷径,成功的关键在于综合干预 + 持之以恒。玲的康复计划包含以下三个核心部分:



YBT测试
1. 精准科学运动疗法(SSE)
这不是普通的健身锻炼,而是高度个性化的矫正性训练。通过精准激活薄弱肌肉、放松过度紧张的肌群,重新“编程”大脑与身体的姿势控制模式。

>这类针对性训练可帮助脊柱“去旋转”并延展,促进自我矫正。
2. 步态与足部分析
姿势的根基,始于双脚!我们对玲的行走方式进行分析,发现足部不平衡正在“传导”到脊柱。为此,我们为她定制了**矫形鞋垫**,从下而上重建身体对线。

> 定制矫形鞋垫能纠正足部位置,进而影响膝盖、骨盆乃至整条脊柱的排列。
3. 居家训练计划的坚持
真正的改变,始于治疗室之外的日常生活。玲在家中日复一日坚持训练,这份自律与投入,正是她取得显著进步的核心所在。
“我很有动力,”玲回忆道,“虽然动作看似重复,但我从未感到枯燥。这些练习让我——一个曾经习惯久坐的人——第一次体会到运动带来的活力与释放,甚至开始享受这种充满能量的感觉。”

> 她佩戴的3D打印矫形支具,用于居家期间穿戴]

> 视频截图,展示她在家中完成训练动作]
坚持执行个性化家庭训练计划,是康复成功的基石。
一张X光片胜过千言万语
经过数月的努力,我们再次拍摄X光片。结果令人振奋——变化清晰可见!

说明:惊人改善!侧弯角度(Cobb角)明显缩小,脊柱排列显著优化。

具体改善包括:
– 脊柱侧弯Cobb角明显下降(主要评估指标)
– 双肩、骨盆更加水平对称
– 外观体态显著提升,自信与身体感知力增强
– 整体运动功能大幅改善
结语:希望与力量,来自坚持与信念
玲的故事,是对精准诊断、个性化治疗与患者坚持的最佳诠释。虽然并非所有脊柱问题都能完全逆转,但显著的功能与结构改善,是完全可能实现的目标。

“我一直担心,如果脊柱问题得不到改善,未来只会不断伤害自己的身体。”玲坦言,“妈妈给了我最大的支持——她为我购置了所有训练所需的器材。每当我看到那些器材放在房间里,我就告诉自己:必须坚持下去,否则我可能永远蜷缩在角落,被自己的体态困住。”
“最终,我不仅矫正了体态,还长出了肌肉,整个人变得更强壮、更有力量。这种改变,是真正属于我自己的胜利。”
治疗师Amari感慨道:“我的角色是引路人,提供方向与方法,就像一张地图;但真正的旅程,必须由患者自己一步步走完。这个成功的背后,是她日复一日毫不动摇的坚持。而最深刻的改变,往往发生在治疗室之外的日常里。”
在我们看来,康复的意义从来不止于X光片上曲度数字的改善。我们更希望赋予年轻人掌控自己身体的能力——当姿态挺起,自信也随之生长,并延伸到学习、社交与生活的每一个角落。
给家长的提醒:早干预,是关键!
如果您的孩子或身边青少年存在体态问题——如高低肩、驼背、走路歪斜、穿衣不齐……
请不要忽视!早期评估与干预,能极大改变未来走向。
让每一个年轻的身体,都能挺拔生长。
UP Medical

本篇文章来源于微信公众号: 上海优复康复医学门诊部
